L' orthodontie

QU’EST-CE QUE L’ORTHODONTIE ?

 

L’orthodontie est une spécialité qui permet de corriger les malpositions dentaires et les malformations des mâchoires afin de redonner une denture fonctionnelle et esthétique.

Un traitement orthodontique consiste à appliquer une force sur une ou plusieurs dents de manière à les déplacer et les repositionner pour obtenir un alignement parfait et un équilibre dentaire harmonieux.

Les racines dentaires vont être sollicitées et se déplaceront dans l’os de la mâchoire, cela grâce à l’activité des cellules osseuses qui permettent à l’os de se résorber ( de fondre) ou de se reformer.

 

L’ORTHODONTIE POURQUOI ?

 

                              ROLE PREVENTIF 

Chez l’enfant

Les dents supérieures trop " en avant " risquent d’être fracturées en cas de choc. Les malpositions et rotations augmentent les risques de caries et d’une inflammation chronique des gencives.

Chez l’adulte

Lorsque les dents se chevauchent, certaines zones sont difficiles d’accès pour le brossage et cet encombrement risque de favoriser l’apparition de tartre sous-gingival pouvant entraîner une perte osseuse responsable, dans certains cas, de mobilité dentaire.

Chez l’enfant Chez l’adulte
Les dents supérieures trop " en avant ". Les dents se chevauchent.

 

                         ROLES ESTHETIQUE ET FONCTIONNEL

Toutes les dents sont alignées. L'esthétique et l'efficacité masticatoire sont optimisés.

 

L’ORTHODONTIE, QUAND

L’orthodontie peut être réalisée à tout âge néanmoins un bon état parodontal (état de l'os et des gencives) et une bonne hygiène sont des conditions essentielles pour la réussite du traitement. Par ailleurs, lorsque une malformation dentaire est trop importante, il faut associer le traitement orthodontique à de la chirurgie maxillo-faciale.

 

 

QUELS SONT LES TRAITEMENTS ?

 

                          TRAITEMENTS ORTHODONTIQUES CHEZ L’ENFANT

          1/ TRAITEMENTS DE PREVENTION

Des traitements précoces sont nécessaires chez le jeune enfant dès 7 ans dans les cas suivants :

Succion du pouce, d’un doigt ou d’une tétine : cette habitude néfaste provoque une déformation du palais et projette les dents en avant entraînant un risque de fracture des incisives supérieures en cas de choc.
Interposition de la langue lors de la déglutition : cette " parafonction " est responsable de béance : l’orthodontiste peut compléter son traitement en associant des séances d’orthophonie.
Anomalies du développement des machoires: l’enfant est en phase de croissance et les relations entre les mâchoires peuvent être améliorées.
Inversé d’articulé : les dents supérieures doivent circonscrire les dents inférieures.

 

Il est important de détecter dès le plus jeune âge ces anomalies qui provoquent des déséquilibres avec des répercutions plus ou moins sévères sur la croissance et sur l’équilibre de la sphère oro-faciale.

         

          2/ TRAITEMENTS EN DENTURE PERMANENTE

A partir de l’age de 11 ans, lorsque les dents définitives ont évolué sur l’arcade dentaire, le traitement orthodontique va permettre l’alignement définitif des dents .

Les dents ont leur taille définitive lors de la venue sur l’arcade alors que les mâchoires n’ont pas terminé leur croissance ; la forme des arcades dentaires peut être modifiée de même que le décalage des mâchoires en utilisant la croissance.

Lorsque le praticien constatera un manque de place très sévère, il choisira d’extraire certaines dents définitives afin d’obtenir les millimètres nécessaires pour réaligner les dents en rotation ou en malposition.

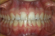
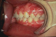
Avant Après
Avant Après
Avant
Après

 

                  TRAITEMENTS ORTHODONTIQUE CHEZ L’ADULTE

Il y a principalement trois groupes de patients :

  • les patients qui se sont adressés à leur chirurgien-dentiste habituel pour des problèmes esthétiques, des problèmes de gencives ou pour remplacer des dents absentes.

Ce dernier les oriente chez un orthodontiste. Un traitement orthodontique réalisé préalablement permettra d'aligner les dents en malpositions, et leur dentiste sera alors en mesure de réaliser les travaux prothétiques dans les meilleures conditions cliniques; le but étant d'obtenir un résultat plus esthétique, plus stable et plus fonctionnel.

  • les patients qui n'ont pas eu la possibilité d'être traités durant leur adolescence.

Leur motivation est essentiellement esthétique mais parfois ils souhaitent retrouver un articulé dentaire normal pour une meilleure mastication.

 

  • les patients qui ont consulté un chirurgien maxillo-facial pour des changements esthétiques de l'étage inférieur de la face.

La modification de leur profil passe par une chirurgie des mâchoires mais au préalable, les dents doivent être alignées pour que les mâchoires soient déplacées de manière précise et stable.

 

LES DIFFERENTS APPAREILLAGES

 

Les systèmes amovibles :

Ils sont indiqués pour des modifications mineures tels le redressement d’un axe dentaire ou un léger chevauchement. Ils se présentent sous la forme de gouttières en résine transparente qui épousent la forme des dents et du palais et vont pousser les dents dans leur position idéale d’alignement.

Les systèmes fixes ou systèmes multiattaches :

Les attaches transparentes en céramique ou en plastique sont les plus utilisées; elles sont aussi efficaces que les attaches métalliques que l'on pose couramment chez les enfants mais plus esthétiques.
Il existe un sytème dit "lingual" ou interne  collé sur les faces internes des dents. Il est totalement invisible mais il nécessite un temps d'adaptation pour la langue.Ce système impose un traitement plus long,  il est parfois contre indiqué notamment lorsque les dents sont trop courtes.
Le traitement orthodontique doit se terminer par une phase de contention (immobilisation des dents dans la bonne position) .

Elle est réalisée le plus souvent par un fil métallique collé sur la face linguale des dents.

 

LA DUREE DU TRAITEMENT

Elle dépend bien sûr des modifications qui doivent être réalisées. Le traitement peut s'étendre sur une période de 6 mois lorsqu'il s'agit de redresser l'axe d'une dent. Il est beaucoup plus long quand doivent être réalisés l'alignement de toute une arcade ou la correction d'un décalage entre les deux arcades dentaires.

 

Choisir un autre thème Retour Accueil