L'hygiène dentaire au quotidien

L’élimination de la plaque dentaire est le facteur déterminant de la prévention des caries et des maladies de gencive. Ce sont les bactéries nombreuses et variées de la plaque qui sont les vrais responsables.

Le brossage des dents est donc une lutte bi-quotidienne contre ces microbes qui s'agglutinent sur la surface de nos dents ( 5 à 6 heures après le brossage, les premières bactéries commencent à coloniser de nouveau nos surfaces dentaires ! )

Le brossage:

Après chaque repas et pendant 3 minutes environ (le temps d’une chanson !).

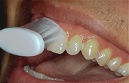
La brosse à dents aura une tête plutôt petite avec des poils souples et en nylon. Le bout des poils sera arrondi. Elle doit être changée tous les 3 mois.

Positionner votre brosse à 45 degrés de façon à ce que les poils soient à cheval sur la gencive et les dents.

Descendre la brosse de haut en bas et vice versa, ou bien plus efficace encore effectuer des mouvements de rotation en brossant les dents et le bord de la gencive en même temps.

hyg_1.jpeg (7575 octets)

 

Frottez chaque face des dents sans oublier le dessus.

Les adjuvants au brossage:

Votre dentiste peut vous conseiller d’utiliser un ou plusieurs accessoires pour compléter votre brossage dans les espaces interdentaires.

        Les bâtonnets interdentaires:

Ils éliminent la plaque dentaire à la base des dents et stimulent la gencive. Ils seront utilisés quand les espaces entre les dents sont étroits.

On exerce un mouvement de va et vient de l’extérieur vers l’intérieur afin d'éliminer la plaque dentaire sur les faces latérales des dents.

La base du triangle doit être positionnée sur la gencive.

hyg_2.jpeg (6977 octets)

         Le fil dentaire:

Il élimine la plaque dentaire sur les surfaces latérales des dents.

hyg_4.jpeg (5800 octets)

hyg_3.jpeg (7038 octets)

l Le fil sera tendu entre les deux majeurs. On frotte de bas en haut et de haut en bas en maintenant le fil plaqué sur la dent.  Pensez à nettoyer les deux côtés de la dent.

      Les brossettes interdentaires :

hyg_6.jpeg (7970 octets)

hyg_5.jpeg (8497 octets)

Indispensables dans les espaces interdentaires larges. On exerce un mouvement de va et vient de l’extérieur vers l’intérieur.

       L’hydropulseur:

C'est un appareil qui projette un jet d’eau à forte pression dans les espaces interdentaires. En plus d’un massage de la gencive, il permet d’éliminer les débris bloqués, mais n'élimine pas les bactéries de la plaque dentaire. Il ne remplacera donc pas la brosse à dents, les brossettes et les bâtonnets.

      Les chewing-gum sans sucre :

La salive, par ses propriétés anti-bactériennes est un rempart anti-caries. La mastication des chewing-gum stimule la production de salive.