La couronne prothétique
Une dent dévitalisée est fragile et cassante, il est préférable de la couronner. Voici les différentes étapes

LE FILM :

1. Renforcement et reconstitution de la dent à couronner (n'est pas inclus dans le montant de la couronne).

2. Préparation et prise d’empreinte.

3. La couronne prothétique est réalisée par un laboratoire de prothèse.

4. Scellement de la couronne.

 

                                     RENFORCEMENT ET RECONSTITUTION DE LA DENT A COURONNER : 2 possibilités.

  1   Vis en titane et composite foulé dans la dent :

Screwp1.jpeg (8840 octets) rxcompo.jpeg (8873 octets) Screwp2.jpeg (20437 octets)
Une vis en titane est scellée dans la racine d'une prémolaire. Radiographie d'une molaire avec les vis en place. Un matériau composite est foulé dans la dent et autour de la vis, un moignon est ainsi reconstitué.

 2  Inlay-core (Faux moignon)

     Votre dent est trop délabrée pour être reconstituée au fauteuil, il faut réaliser un faux moignon ou inlay-core.

     Deux séances sont alors nécessaires pour l'inlay-core, la troisième séance sera celle de la pose de la couronne:

inlaycore2.jpeg (19800 octets) inlaycore.jpeg (13244 octets) inlaycore3.jpeg (18987 octets) inlaycore3.jpeg (18987 octets)
Première séance

Préparation, prise d’empreinte et réalisation d'une dent provisoire :

Le laboratoire

de prothèse réalise une pièce métallique : l’inlay core.

Deuxième séance 

Pose de l’inlay-core.

Troisième séance 

Pose de la couronne. Voir plus loin les différents types de couronne.

L’inlay-core peut présenter une clavette, c'est-à-dire un tenon supplémentaire qui verrouille un éventuel descellement.

La tendance actuelle est de réaliser un inlay-core en or jaune et une couronne tout céramique. Dans certains cas, on gagne en esthétique.

                                                                    LES COURONNES PROTHETIQUES 

 

  • Couronne tout en métal

    Cou_meta.jpeg (15947 octets)

    C’est la solution la plus facile et la moins onéreuse, elle "rend service". Mais son principal défaut est d’être très inesthétique.

 

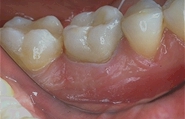
  • Couronne céramo-métallique 

C’est la couronne la plus utilisée . Il s’agit d’une armature en métal recouverte de céramique (porcelaine dentaire).

Ceram4.jpeg (8251 octets) Ceram6.jpeg (13851 octets) Ceram7.jpeg (12411 octets)
Les dents sont préparées avec les deux techniques de reconstitution décrites plus haut. Les armatures sont recouvertes de céramique.

Rendu esthétique final optimum.

 

  • Couronne céramo-métallique à tenon  

La réalisation d'un inlay-core avant de faire une couronne est toujours préférable, mais dans certains cas le manque de hauteur impose de faire une dent à tenon.

 

  • Couronne entièrement céramique sans métal

Outre des propriétés esthétiques remarquables, il n’y a plus d’allergie provoquée par le métal. C’est la couronne du 21ième siècle

Ceram1b.jpeg (19703 octets) Ceram2b.jpeg (9839 octets) Ceram3b.jpeg (13806 octets)

 

  • Couronne à tenon tout céramique
Ceram8.jpeg (19762 octets) Ceram9.jpeg (19510 octets) Ceram9.jpeg (19510 octets)
Etat initial

Le tenon fait partie intégrante, il est également en céramique.

C'est la dernière née des couronnes céramiques.

La couronne est collée à la racine de la dent, ce qui augmente la cohésion de l'ensemble et évite l'infiltration secondaire par les bactéries.

Cette couronne monobloc tout céramique aura tendance à se développer dans les années à venir.

Choisir un autre thème Retour Accueil